花椒素(WGX-50)在抗衰老药物、药妆及保健品中的应用


技术描述

花椒(学名:Zanthoxylum Bungeanum Maxim),果实呈圆形,绿豆大小,是一种常用香料,也是中药材,多见于海拔2500米的坡地,也有栽种。我国最早的药学著作《神农本草经》记载,花椒“味平、温,主治风邪气,温中,除寒痹,坚齿明目,逐下气”。 《本草纲目》里提到:“椒,纯阳之物,其味辛而麻,其气温以热。入肺散寒,治咳嗽;入脾除湿,治风寒湿痹,水肿泻痢;入肾补火,治阳衰溲数,足弱久痢诸症”。《中国药典》 收载本种为中药花椒的法定原植物来源种之一。目前,花椒属植物主要研究的活性成分为挥发油、生物碱类化合物,还有香豆素等,然而对酰胺类化合物功能研究知之甚少。本项目通过分子模拟药物设计发现WGX-50是从花椒属植物种提取出来的酰胺类化合物(其英文名字为lemairamin)可以作为治疗阿尔兹海默症的候选药。随着WGX-50临床试验的深入研究,我们发现其有显著的护肤效果,可有效增加老年小鼠皮肤胶原蛋白、弹性蛋白的合成和毛囊的修复,能抑制衰老和老年斑的形成,同时具有抗氧化防紫外线的功能。

技术优势

1.花椒药食同源,其提取物安全性高。目前抗AD药物几乎都失败了,我们认为这个分子成药的可能性较大。作为美容产品容易受到消费者的青睐。 2.目前的科学研究已经证明,保护皮肤中的胶原蛋白、弹性蛋白可以有效减少皱纹的产生,保护皮肤毛囊可以改善皮肤光滑度,延缓皮肤衰老。花椒中的天然成分WGX-50在动物组织水平对于修复胶原蛋白、弹性蛋白中具有显著的效果。 3.通过北京化妆品协会的盲测试验结果,花椒素WGX-50作为从花椒中提取的天然产物在浓度为0.72ug/ml时,促进细胞内胶原蛋白生成的效果与200ug/ml的烟酰胺效果持平;浓度为80.25ng/ml时对HFF-1细胞中可清除或抑制ROS的效果优于200ug/ml的烟酰胺效果,表明花椒素可通过促进HFF-1细胞中胶原蛋白合成及抑制ROS两个方面达到抗衰老和抗氧化的效果。同时兔眼实验验证花椒素没有刺激性。所以用量少无刺激且抗氧化美白效果好的花椒素是烟酰胺的理想替代品。

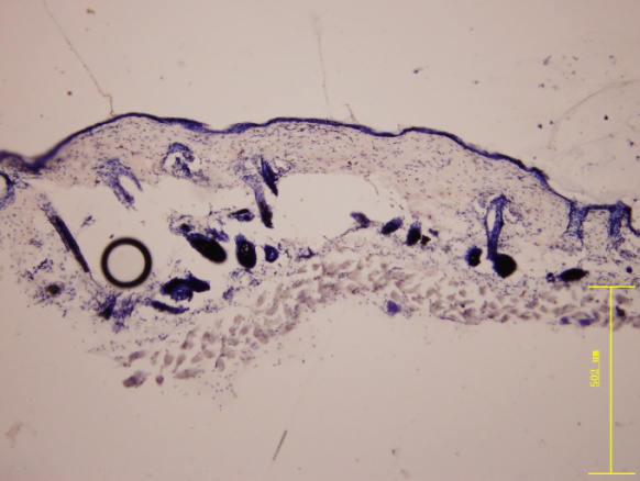
效果指标

1.大量的分子、细胞和动物试验数据验证了抗阿尔茨海默病(AD)机理和效果。 2. 试验证明.在老龄小鼠背部涂抹WGX-50可以起到显著的护肤效果,可有效增加老龄小鼠皮肤胶原蛋白的合成和毛囊的修复。 3.运用人体皮肤成纤维细胞进行的实验表明,该化合物可以有效地抑制衰老和老年斑的形成。4.根据Draize兔眼刺激试验(Draize eye test)显示WGX-50对家兔眼角膜、虹膜、结膜均无刺激作用。 5.β-半乳糖苷酶染色法鉴定细胞衰老程度试验,说明WGX-50对于细胞被氧化损伤而发生衰老有良好的预防和保�䶲痠ἔ痡��㨘痟缑甞������������������������峏甜�Ѐ����碈ᤷ崿揹㏚ᤸᓧ揹碈ᤷ嗥揾廄揹